Menu
Submit A Video
Log In
Channels
search-icon Search
©2026 Bryn Mawr Communications, LLC. All Rights Reserved
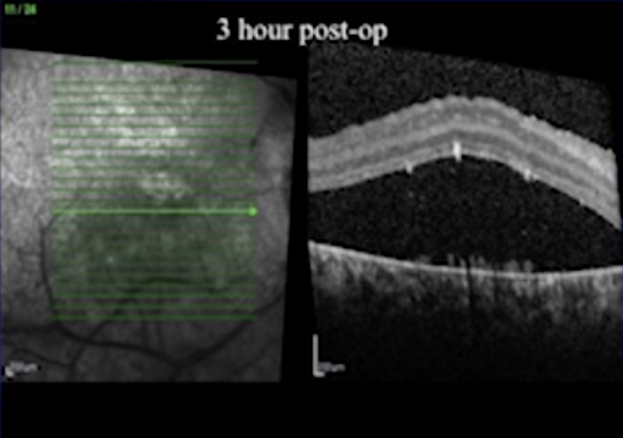
When the going gets tough, the tough get going
icon/share Share
Link copied
Show Description +
Posted: 5/19/2016
Keywords:
•
Explore what retina specialists see in the OR by watching videos in an immersive 3D experience.
Stanislao Rizzo, MD
Hudson de Carvalho Nakamura, MD
Frederic Aissani, MD
Manish Nagpal, MS, DO, FRCS(UK)